Η ασβεστοποιός τενοντοπάθεια του ώμου είναι μια συχνή πάθηση που χαρακτηρίζεται από εναπόθεση αλάτων ασβεστίου στους τένοντες του στροφικού πετάλου, προκαλώντας πόνο και δυσκαμψία στην άρθρωση του ώμου.
Εμφανίζεται συχνότερα σε άτομα ηλικίας 30–60 ετών, χωρίς απαραίτητα να προηγηθεί τραυματισμός.
Ποιοι τένοντες προσβάλλονται
Συνήθως προσβάλλεται ο τένοντας:
- του υπερακάνθιου μυός
και σπανιότερα: - του υπακανθίου
- του υποπλάτιου
Συμπτώματα
Τα συμπτώματα ποικίλλουν ανάλογα με το στάδιο της πάθησης και μπορεί να περιλαμβάνουν:
- Έντονο πόνο στον ώμο, συχνά αιφνίδιο
- Πόνο που επιδεινώνεται τη νύχτα
- Δυσκολία στην ανύψωση ή στροφή του χεριού
- Περιορισμό του εύρους κίνησης
- Αδυναμία στη χρήση του άνω άκρου
Σε ορισμένες περιπτώσεις, η πάθηση μπορεί να είναι ασυμπτωματική και να διαγνωστεί τυχαία.
Στάδια της νόσου
Η ασβεστοποιός τενοντοπάθεια εξελίσσεται σε διακριτά στάδια:
- Στάδιο σχηματισμού
Δημιουργία εναποθέσεων ασβεστίου χωρίς έντονα συμπτώματα. - Φλεγμονώδες στάδιο (απορρόφησης)
Έντονος πόνος λόγω φλεγμονώδους αντίδρασης του οργανισμού. - Στάδιο αποκατάστασης
Σταδιακή απορρόφηση του ασβεστίου και βελτίωση των συμπτωμάτων.
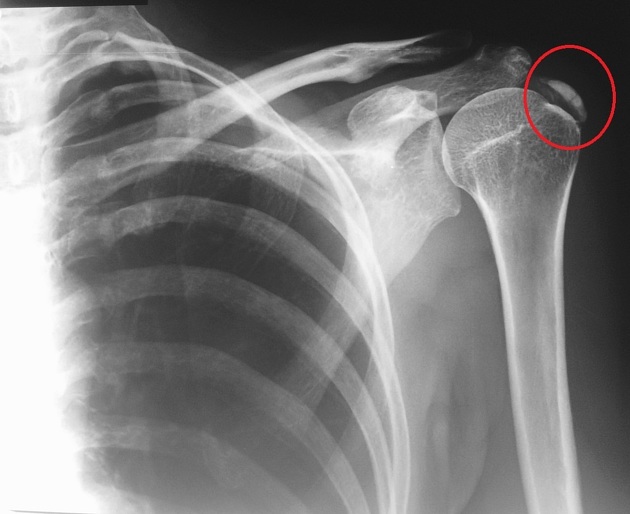
Διάγνωση
Η διάγνωση βασίζεται σε:
- Κλινική εξέταση
- Ακτινογραφία ώμου (αναδεικνύει τις ασβεστοποιήσεις)
- Υπερηχογράφημα ή Μαγνητική Τομογραφία, όταν απαιτείται περαιτέρω έλεγχος

Διάγνωση
Η διάγνωση βασίζεται σε:
- Κλινική εξέταση
- Ακτινογραφία ώμου (αναδεικνύει τις ασβεστοποιήσεις)
- Υπερηχογράφημα ή Μαγνητική Τομογραφία, όταν απαιτείται περαιτέρω έλεγχος
Αντιμετώπιση
Η θεραπεία είναι κατά κανόνα συντηρητική και εξατομικευμένη:
- Αντιφλεγμονώδη και αναλγητικά
- Φυσικοθεραπεία
- Τοπικές εγχύσεις κορτικοστεροειδών (σε επιλεγμένες περιπτώσεις)
- Θεραπεία με κρουστικά κύματα (ESWT)
- Υπερηχογραφικά καθοδηγούμενη έκπλυση ασβεστίου
Χειρουργική αντιμετώπιση
Ενδείκνυται όταν αποτύχουν όλες οι συντηρητικές μέθοδοι και πραγματοποιείται αρθροσκοπικά με μικρές οπές.
Πρόγνωση
Η πρόγνωση είναι εξαιρετική.
Στις περισσότερες περιπτώσεις, η ασβεστοποιός τενοντοπάθεια:
- υποχωρεί πλήρως
- δεν αφήνει μόνιμες βλάβες
- αντιμετωπίζεται αποτελεσματικά χωρίς χειρουργείο
Πότε να επισκεφθείτε τον Ορθοπαιδικό
- Όταν ο πόνος στον ώμο επιμένει
- Όταν υπάρχει νυχτερινός πόνος
- Όταν περιορίζεται η καθημερινή λειτουργικότητα
Η έγκαιρη διάγνωση επιτρέπει ταχύτερη αποκατάσταση και αποφυγή επιπλοκών.
Αρθροσκόπηση ώμου σε ασθενή μας για αφαίρεση μεγάλου ασβεστώματος και συρραφή ρήξης τενόντων

